湖南首例!南华附二医院血管、疝及儿童普外科团队攻克高龄复杂下肢深静脉血栓治疗难关
通讯员:涂铭珊
南华大学附属第二医院血管、疝及儿童普外科熊国祚、邓礼明团队,近日成功为一位88岁高龄、病情极其复杂的左下肢深静脉血栓(DVT)患者实施了高难度微创介入手术,取得显著疗效。这不仅是一例成功的治疗案例,更是该团队在复杂血管疾病领域深厚技术实力的有力证明,标志着湖南省在处理此类高危、疑难DVT病例的微创技术达到新高度。
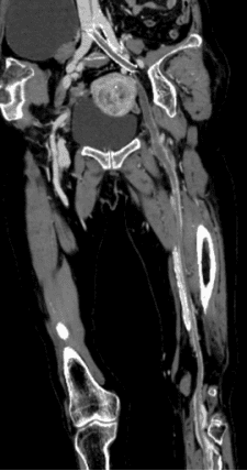
患者是一位88岁的老年女性,体重仅45公斤,因“左下肢突发肿胀3天”紧急入院。其病史极为复杂:11年前曾患DVT,2014年接受了下腔静脉滤器植入及左髂静脉支架植入术,2016年又因支架内闭塞接受了血管再通手术,同时还患有高血压和冠心病。入院检查结果显示D2聚体水平飙升至11.37μg/mL,影像学检查明确显示左下肢深静脉系统自髂总静脉至胫前后静脉广泛血栓形成并部分闭塞,左髂内静脉疑已闭塞,下腔静脉滤器在位,甚至提示存在左下肺肺动脉小分支栓塞的可能。患者超高龄、基础疾病缠身、既往多次手术导致血管条件极差、血栓负荷巨大且新旧混杂,治疗面临前所未有的风险和挑战。

面对如此棘手的病例,熊国祚、邓礼明团队进行全面、严谨的评估后,深刻认识到传统治疗方法的局限性和风险,果断制定了以微创介入为核心的个体化治疗方案,旨在以最小的创伤实现最大的治疗效果。
手术在局部麻醉下进行,这一选择体现了团队对高龄、多合并症患者风险控制的精准把握。术中,团队选择了技术难度更高的俯卧位和腘静脉穿刺入路,这要求术者具备极其娴熟的穿刺技巧和对下肢血管解剖的深刻认知。建立通路后,通过运用机械血栓清除技术,分四次成功清除了目标血管段内大量深色、质地坚韧的急性和亚急性混合血栓,有效解除了巨大的血栓负荷。整个核心取栓过程高效流畅,仅耗时约30分钟,预估失血量控制在极低的50ml以内,充分展现了团队操作的精准与高效。
血栓清除后,造影显示患者左髂静脉原支架内存在严重狭窄——这是既往手术遗留的复杂难题。团队迅速制定应变方案,先后使用不同规格球囊对狭窄部位进行充分扩张,并精准地在原支架远端衔接植入一枚新的静脉支架,随后进行后扩张以确保管腔持久通畅。最终影像显示:股静脉及髂股静脉血流完全恢复通畅,关键瓣膜形态和功能得到完好保护,手术目标圆满达成。
团队精湛技术的效果在术后立竿见影。术前,患者左腿髌骨上方10厘米处腿围为38.5厘米(健侧36.5厘米),下方10厘米处为31.5厘米(健侧29厘米);术后第一天测量,左腿髌上腿围显著降至37厘米,髌下腿围降至29厘米,已基本与健侧持平,下肢肿胀明显消退,患者症状获得快速缓解。

此次湖南省首例复杂病例的成功实践,不仅标志着南华大学附属第二医院血管、疝及儿童普外科在复杂DVT的微创介入治疗领域树立了新的技术标杆,更彰显了该团队勇于攀登技术高峰、以精湛医术造福患者的专业精神,为湖南省及周边地区复杂血管疾病患者带来了坚实的信心和希望。

