精准“锁定”隐匿病灶!南华附二医院成功开展首例磁共振放疗定位技术
通讯员:文洪永 贺睿敏
2025年7月22日,南华大学附属第二医院肿瘤中心联合放射影像科实现技术突破,成功完成首例基于磁共振模拟定位系统(MR-SIM)引导的立体定向体部放射治疗(SBRT)。
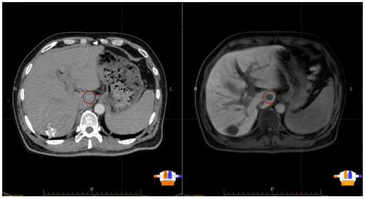
此次治疗针对的是一位肝脏转移瘤在常规CT定位图像上显影不清、边界模糊的患者,该难题曾使高精度放疗计划的制定面临巨大挑战。为解决这一难题,肿瘤中心团队创新性地启用了先进的磁共振模拟定位系统(MR-SIM)。磁共振成像(MRI)凭借其卓越的软组织分辨能力和多参数成像优势,清晰“勾勒”出CT难以显示的肝转移瘤的精确位置、大小和形态,为放疗团队提供了一份至关重要的“高清靶区地图”。基于这份精准的定位图像,团队为患者量身定制了立体定向体部放射治疗(SBRT)方案。
量身定制了立体定向体部放射治疗(SBRT)方案。
SBRT技术以“高剂量、少分次、高精度”著称,能如同精准的“无形手术刀”,将高能量放射线高度集中于肿瘤区域,同时最大程度保护周围的正常肝脏组织和关键结构。此次成功应用,标志着南华附二医院在精准放疗技术领域迈上新台阶。
“当CT定位遇上肝转移瘤这类‘隐匿型’病灶时,磁共振定位技术展现出独特且不可替代的优势。”肿瘤中心成浩博士介绍,“它为我们‘照亮’了病灶,使得高精度、高剂量的SBRT治疗能够安全有效地实施,这是提升此类疑难患者疗效的关键一步。”

此次首例MR-SIM引导SBRT的成功开展,是南华大学附属第二医院肿瘤中心深耕精准放疗技术、推动多学科协作(MDT)的又一重要成果。中心将持续聚焦肿瘤诊疗前沿,深化多模态影像引导与精准放疗技术的融合应用,不断提升诊疗能力与服务品质,以更精准的“眼”与更锋利的“刀”,为守护患者生命健康砥砺前行。

