南华附二医院成功开展同期双侧单髁置换术 微创保膝助患者重获行走自由
通讯员 邱明俊
近日,南华大学附属第二医院关节与运动医学科成功为一名67岁膝关节骨性关节炎患者实施同期双侧单髁置换术。该手术由科室主任谭光华教授领衔团队完成,标志着医院在保膝治疗领域取得重要技术突破。
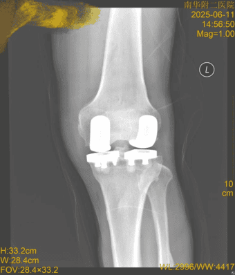
患者周先生因左膝关节反复疼痛并加重入院,确诊为骨性关节炎,主要累及内侧间室,外侧间室也有明显退变。针对其年龄适中、活动需求高且前交叉韧带完好的特点,谭光华教授团队决定采用技术要求极高的同期双单髁置换术。

谭光华教授介绍,相比传统全膝关节置换,双单髁置换术具有三大核心优势:最大程度保留患者自身骨量及韧带结构、手术创伤小、康复速度快(患者术后次日即可下地活动)。手术采用髌旁内侧入路,精准完成内外侧关节面截骨,并特别注重保留前后交叉韧带以维持关节稳定。整台手术仅耗时1小时10分钟,出血量约180ml。患者术后第2天即开始康复锻炼,第5天顺利出院。术后3周随访显示,其膝关节功能(HSS评分)已从术前的52分显著提升至86分。
作为湖南省临床重点专科,南华附二医院关节与运动医学科年均完成各类关节置换手术400余例,在保膝治疗领域(包括单髁置换UKA、胫骨高位截骨HTO等)形成特色技术体系。自2015年开展单髁置换术以来,科室已完成近1000例,患者满意度高达98.5%,其中高难度的双单髁置换术均取得良好疗效。科室建立了完善的术后随访体系,确保手术长期效果。
谭光华教授表示,随着精准医疗理念普及,保膝手术成为膝关节炎治疗新趋势。他建议患者尽早就诊,由专业医生评估选择个体化方案:早中期可考虑保守治疗或保膝手术,终末期可能需要全膝关节置换。正确的治疗选择对保留关节功能、提升生活质量至关重要。科室将持续优化技术并开展研究,为不同阶段的患者提供更佳治疗方案。


