前列腺癌“神探”——PSMA PET/CT

前列腺癌“神探”——PSMA PET/CT

前列腺癌是全球男性第二大高发的恶性肿瘤,也是导致男性死亡的第五大原因。2022年中国恶性肿瘤疾病负担数据显示,中国男性前十位恶性肿瘤排行中,前列腺癌发病率居第6位,占比从2016年3.5%上升到2022年5.3%,死亡率居第7位,是男性泌尿系统最常见的恶性肿瘤。

image.png 

1 中国男性前十位恶性肿瘤发病率

image.png 

2 中国男性前十位恶性肿瘤死亡率

由于人口基数大、早期症状不明显、健康意识等因素,导致我国前列腺癌患者早期筛查率偏低。我国前列腺癌初诊病例以临床中晚期居多,临床局限性病例为30%左右,以致于我国前列腺癌患者的总体预后较差,远低于欧美发达国家。然而,早发现、早治疗,提高患者生活质量,延长生命周期需要精准诊断和准确分期。近年来,PSMA PET/CT应用在前列腺癌靶向诊疗的效果得到了实践证明,已成为核医学科和相关临床科室的“利器”。

 

一、什么是PSMA

PSMA,全称前列腺特异性膜抗原(Prostate-Specific Membrane Antigen),是一种与前列腺癌密切相关的蛋白质。存在于前列腺上皮细胞的固有膜蛋白,在前列腺癌细胞表面强表达,在前列腺正常组织和非前列腺组织中表达量相对较低,表达量是正常前列腺细胞的100-1000倍,且与前列腺癌分级和分期呈正相关。这种强表达、高度特异性使得PSMA成为前列腺癌诊断和治疗的重要靶点。

image.png 

3 PSMA小分子抑制剂与PSMA靶点结合模式图

二、什么是PSMA PET/CT

临床上,前列腺癌的影像诊断和临床分期,常用CT或磁共振,主要通过形态学的异常来判断。当病变较小或不典型时,容易漏诊和误诊。PET/CT显像(正电子发射体层成像),实现了解剖学和功能学的有机结合,能更直观地显示病变的位置和代谢变化。一次扫描可获得全身各部位影像信息,对病变的定位、定性、分期及疗效评估等具有重要作用。

PSMA PET/CT实际上是一种靶向显像,用放射性核素(常用68Ga、18F)标记PSMA配体作为示踪剂,通过静脉注入体内,经过分布代谢于病灶,然后用PET/CT进行扫描,即完成显像。借助PSMA的引导功能,将放射性核素更精准地聚集在前列腺癌细胞,结合正电子发射断层扫描(PET)和计算机断层扫描(CT),实现对前列腺癌的精准检测。

image.png 

4 前列腺癌细胞摄取68Ga-PSMA-11

image.png 

 

5 PSMA PET-CT工作原理

 

三、PSMA PET/CT在前列腺癌的临床应用

1、前列腺癌的诊断和分期

据研究显示,PSMA PET/CT诊断前列腺癌的灵敏度和特异度均达90%以上。在淋巴结转移诊断方面,优于CT和磁共振;对于骨转移诊断方面,优于骨扫描。

2、引导前列腺癌精准穿刺

PSMA PET/CT可以精准显示肿瘤部位,可引导前列腺癌靶向穿刺或联合系统穿刺,提高穿刺成功率,进而减少并发症的发生。

3、前列腺癌的生化复发检测

对于根治性的前列腺癌患者,PSA上升提示复发和转移。生化复发的监测是PSMA PET/CT最重要的适应证,国内外多个权威指南推荐应用。

4、前列腺癌治疗后疗效评估

在治疗过程中或治疗后,PSMA PET/CT可用于监测疾病的进展和治疗效果。如果癌症复发或出现新的转移灶,该技术能够及时发现并指导临床医生采取相应的治疗措施。

5、指导177Lu-PSMA-67核素治疗前列腺癌

PSMA PET/CT可以筛选适合接受177Lu-PSMA-67核素治疗的患者。同时可以确定哪些区域需要接受核素治疗以及治疗的剂量。这种个性化的治疗方法可以提高治疗效果并减少不必要的副作用。

 

四、PSMA PET/CT检查流程及注意事项

1、由临床医生开具申请单,至第二住院部一楼核医学科进行预约检查时间。

2、检查当天不用空腹,可正常饮食及服用药物,穿着舒适保暖。

3、检查前认真听护士宣教,常规饮水500-600ml。

4、注射示踪剂后,在候诊室休息等候2小时,检查时间约20分钟。

5、扫描结束后,在候诊室等候,待工作人员通知离开。

6、检查结束后大量喝水排尿,以加速体内示踪剂排出。24小时内避免近距离接触孕妇、小孩。

7、检查报告于检查后第二天至问诊室领取。

 

五、病例展示

男性患者,75岁。

2022年10月,出现尿频、尿急、尿不尽,夜尿增多,未治疗。

2024年04月,自觉症状不能缓解,外院就诊示PSA为20.20ng/ml,未处理。

2024年05月,我院B超引导下经会阴前列腺穿刺活检,病理未见肿瘤。予以抗炎、抗前列腺增生处理。

2024年07月,当地医院复查PSA为26.62ng/ml,未处理。

2024年09月24日,我院多参数MRI检查,前列腺左侧移行带尖部异常信号结节,PI-RADS 评分:4分。

2024年10月12日,我院18F-PSMA PET/CT检查,前列腺发现两个高摄取结节,提示前列腺癌可能性大。

2024年10月22日,我院结合前列腺MRI及18F-PSMA PET/CT结果,未行再次穿刺活检,直接行根治性前列腺切除。

image.png 

6 前列腺左侧移行带尖部病变在多参数MRI和PSMA PET/CT均可显示

image.png 

7 前列腺外周带左后病变在多参数MRI显示不明显,而PSMA PET/CT清晰显示

image.png 

8 PSMA PET/CT最大标准摄取值在延时显像持续增高,增强了诊断信心

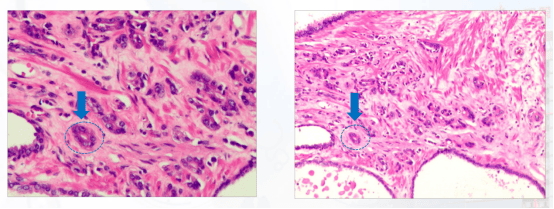
image.png 

9 病理图,诊断:(前列腺)根治样本,前列腺腺癌,Gleason评分:3+5,4组

 

我院核医学科已常规开展18F-PSMA-3Q PET/CT显像,该示踪剂的放射性核素18F具有较长的物理半衰期(约109分钟),具有空间分辨率高和成像质量佳的优点。同时,18F-PSMA-3Q的亲和力、肿瘤特异性摄取高,血液、肾脏清除快,肿瘤/肌肉比值高,更有利于前列腺癌的诊断。PSMA PET/CT作为一种先进的医学影像技术,在前列腺癌的诊断、分期和治疗监测等方面发挥着重要作用。随着技术的不断进步和应用范围的扩大,它将为更多的前列腺癌患者带来福音和希望。

 

PET/CT预约地址:第二住院部一楼问诊室

预约/咨询联系人及电话:胡娜  18007471710   黄亮  13575158468

 

供稿:韩孟龙

审核:黄