南华附二医院成功开展首例经导管主动脉瓣置换术
(通讯员 陈孔)
主动脉瓣狭窄是最常见的心脏瓣膜病之一,65岁以上人群中发病率达2%~7%,伴随全球人口老龄化,罹患该疾病的患者人数还在急剧增加。外科主动脉瓣置换术挽救了大批主动脉瓣狭窄(AS)患者的生命,但仍有大量高龄、合并症复杂、外科手术禁忌或者高危风险的患者因没有手术治疗机会而死亡,经导管主动脉瓣置换术(TAVR)是一种采用与冠脉支架植入类似的微创方法,相对于传统外科开胸手术,TAVR具有创伤极小、恢复快、痛苦程度低、安全性高等优点。患者术后2天即可下床,数天后即可出院,即使是百岁以上或者合并多种并发症的患者,经严格的术前评估和充分的术前准备仍有接受TAVR手术的机会。
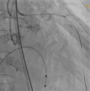
近日,南华大学附属第二医院成功为一名72岁的女性患者进行了经导管主动脉瓣置换术(TAVR)。患者体重38kg,因胸闷、气促2月余,加重7天到经诊断为心脏瓣膜病、主动脉瓣重度狭窄、心功能IV级。 前期经积极的药物治疗,但患者主动脉瓣重度狭窄并少中量返流,二、三尖瓣少中量返流,肺动脉高压,左心功能严重减低(26%)且左冠开口位置偏低,定位一旦不精准,整个左冠闭塞,后果是灾难级的。因患者衰竭状态实在不能承受外科SAVR。医院第一时间组织院内外专家进行MDT(多学科会诊)充分讨论,决定开展经导管主动脉瓣置换术(TAVR)进行治疗,并制定详细的手术方案。



术中,采用了两个新技术保护左冠;“烟囱”技术和对合缘对齐技术,同时邀请ECMO全程为手术护航,一旦出现循环崩溃等紧急情况时迅速提供体外膜肺氧合支持,保障患者生命体征。在麻醉科、心外科、普通外科血管外科专业、超声心动图室等的支持下经过团队的合作,术后主动脉跨瓣压差显著降低,无明显瓣周漏,左室射血分数即刻得到改善,术前低血压状态逐渐改善,恢复到同龄人状态。
通过多学科的紧密合作,充分发挥了各自的专业优势,成功开展了医院首例经导管主动脉瓣置换术,患者术后第2天下床,术后3天出院。


