新生儿肚子现巨大肿瘤!南华附二儿童普外科微创手术成功为其切除
通讯员:谭雄
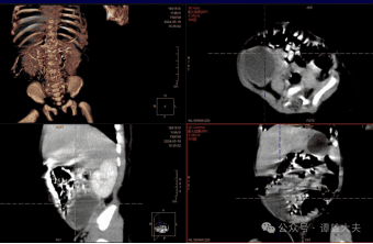
小宝宝诞生到这个世界,本是一件家里的大喜事,但这一家人却有些高兴不起来。因为,产前B超已经提示,胎儿腹部有巨大肿块,出生后体检也发现该女婴腹部能摸到质地较硬的包块,约有6厘米直径。宝宝第28天,家人立即带着宝宝来到南华附二就诊,入住儿童普外科。进行CT检查提示,考虑腹腔肿块,而且不能排除恶性肿瘤,需要手术治疗。
由于新生儿对手术耐受能力差,加之肿瘤巨大,手术出血很可能较多,该手术风险极大。经过多学科联合会诊后,决定为新生儿腹腔镜微创手术治疗。

(手术现场)
手术紧张而有序地进行。术中发现腹腔肿块来源于宝宝右侧卵巢,诊断考虑卵巢畸胎瘤,并且已经扭转坏死。分离结扎肿瘤的血管,将肿瘤放置于脐部穿刺鞘的位置,抽吸肿瘤囊液,最后将肿瘤从脐部穿刺鞘的切口取出。手术顺利,术中出血仅约2ml。
宝宝术后恢复很好,术后第二天就开始母乳喂养,恢复正常,家人们都非常高兴和满意。
据悉,南华附二儿童普外科是湘南地区最早成立的,治疗儿童外科疾病的专业科室。对于儿童外科疾病的治疗,有着非常丰富的临床经验。科室以微创手术、个体化治疗、危重症外科治疗为特色,每年为上千位小朋友完成外科治疗,均取得良好的效果。

