近日,南华大学附属第二医院妇科联合胃肠外科成功为一位极其复杂的盆腹腔巨大肿物患者实施了高难度肿物切除术,术后患者恢复良好。
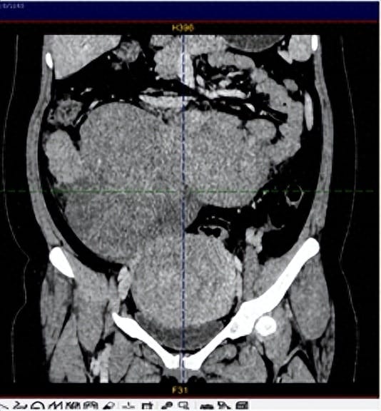
今年32岁的廖女士2个月前自觉腹部增大,如孕6+月大小,并伴有进行性腹痛腹胀,逐渐加重,慕名到我院就诊。入院后检查,CT显示盆腹腔巨大包块已达19x20cm大小,包块巨大,且性质不明确,加之患者肥胖,贫血、有多次手术史,估计手术难度较大。
盆腔CT
针对患者病情,科室组织了胃肠外科、麻醉科、影像科、病理科、重症医学科多学科会诊,并对术中可能出现的情况做了充分的评估及准备。手术当天,打开腹腔,大家都倒吸了一口凉气,肿块与大网膜及肠管致密粘连,肿物表面布满了怒张血管,仔细探查,发现肿块已经充满整个腹腔。在麻醉科和手术室医护人员的密切配合下,妇科周建斌主任团队联合胃肠外科单汉国主任,沉着冷静,小心仔细地将肿物分离出来并切除,手术非常顺利,术中血压、心率平稳,出血很少。在妇科医护人员的精心治疗与悉心护理下,患者恢复很好。非常庆幸的是,肿块病理报告是良性的播散性平滑肌瘤。出院时,患者紧紧握着周建斌主任的手,“南华附二妇科帮我解决了这么大的难题,确实是了不起!”
手术中
术后切下的巨大肿物
(通讯员:陈利亚)
(审核:付立明 王 兵)

