2023年9月2日,中国医师协会放射肿瘤治疗医师分会在青岛市隆重召开第三届委员会选举成立大会,大会通过民主程序进行新一届委员会选举工作,南华大学附二医院肿瘤中心成浩教授当选为委员,我院肿瘤中心成为湖南省4家委员单位之一。

成浩教授参会并当选中国医师协会放射肿瘤治疗医师分会第三届委员会委员

遵循知识是资本,人才是财富,创新是灵魂,质量是生命的办院理念,我院引进高层次人才成浩博士担任放疗专业学科带头人,自2022年6月份以来,在成浩主任的带领下,南华大学附属第二医院肿瘤中心着力于新技术新项目的开展,包括乳腺癌保乳术后大分割放疗技术、腹部加压固定技术、基于深度学习的智能放疗靶区勾画与图像精准融合/配准、人工智能辅助靶区勾画技术共4项新技术项目。
乳腺癌保乳术后大分割放疗,将乳腺癌放疗分次从以往的27次缩短到了18次,在保证治疗效果的同时也减少了患者的治疗周期和费用。
腹部加压固定技术,腹部肿瘤(肝癌、胃癌等)在放疗过程中由于自主呼吸运动会造成肿瘤运动到射束范围之外造成脱靶,通过适当的腹部加压可以控制呼吸运动,减少呼吸运动造成的靶区位移,从而提高靶区照射的精确度并减少放疗副反应。
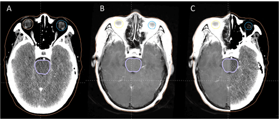
近日南华大学附属第二医院肿瘤中心成功开展了基于深度学习的智能放疗靶区勾画与图像精准融合/配准。
肿瘤中心二区主任成浩博士介绍:在放疗靶区勾画阶段是基于增强CT图像,但CT图像在软组织坏死,水肿等区域成像质量不如核磁共振(MRI)。因此在头颈部和盆腔等特定位置的肿瘤靶区勾画必须结合磁共振定位扫描。
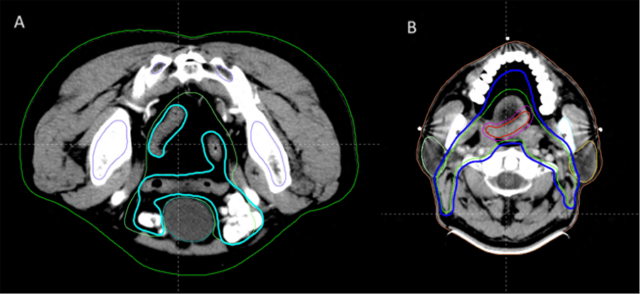
肿瘤中心在2022年11月和2023年6月分别引进了两套国内先进的人工智能辅助靶区勾画系统,新型的智能勾画系统相比于传统的基于图谱(Atlas-based)的自动勾画更具有优势,成功实现了复杂靶区的自动勾画,以鼻咽癌靶区勾画为例,传统手工勾画需要2-3小时,而自动勾画只需2分钟,大大简化了放射治疗的流程,缩短了患者从定位到治疗的等待时间,减少了患者的住院周期,对进一步合理配置医疗资源具有重要意义。

脑部肿瘤配准效果图

盆腔和头颈部靶区自动勾画效果
南华大学附属第二医院肿瘤中心是湖南省乳腺癌防治中心放射治疗部,湖南省肺癌MDT成员单位,湖南省宫颈癌放疗联盟单位,湖南省鼻咽癌MDT联盟一级中心单位。近十年来科室在教学、科研方面都取得了较大的进步,成浩教授是主任医师,博士,暨南大学博导,南华大学硕导。现担任南华大学附属第二医院肿瘤中心二区学科主任。擅长各种疑难恶性肿瘤放化疗及靶向、免疫等综合诊治。尤其在鼻咽癌诊治方面有一定造诣。研究方向为鼻咽癌放疗抵抗、人工智能与影像组学在智能组学放疗中的应用。近年主持省市级课题各1项,获计算机软件著作权1项,发表论文15篇,其中SCI论文3篇。
在今年引进高端直线加速器,未来可开展更多新技术和新项目,同时也标志着南华附二的肿瘤诊疗技术达到了国内先进水平,让肿瘤患者在家门口即可享受高端治疗技术。
(通讯员:文洪永、贺睿敏)
(审核:付立明 王 兵)

