南华大学附属第二医院成功为肺泡蛋白沉积症(PAP)患者实施全肺灌洗术

患者陈先生,5年前因反复咳嗽、气促在外院就诊,通过胸部CT、支气管镜等检查被诊断为肺泡蛋白沉积症(pulmonary alveolar proteinosis,PAP),予以相应药物治疗效果不佳,且因症状明显反复,多次(5~6次)在某大型医院行全肺灌洗术。今年7月前患者再次出现咳嗽、气促,症状逐渐加重,为求全肺灌洗治疗,患者再次到原医院就诊,但因床位紧张,未能如期住院治疗。患者经原就诊医院推荐,来到南华大学附属第二医院就诊,并于7月12日入院呼吸与危重症医学科。追问病史,患者距离上次全肺灌洗1年余,患者入院时存在明显的低氧血症,血氧饱和度仅为72%。

肺泡蛋白沉积症是一种罕见的肺部弥漫性疾病,病因未明,发病率约为百万分之三点七。其主要原因是肺泡巨噬细胞功能失调致表面活性蛋白和脂质沉积于肺泡内,临床表现主要为进行性气促、低氧血症、咳“牛奶”样泡沫痰,部分患者无任何症状,仅为体检时意外发现。

此时,陈先生双肺中负责氧气交换的肺泡由于被大量异常蛋白挤压,呼吸功能大大减弱,已经存在呼吸衰竭,唯一能挽救陈先生的就是全肺灌洗术。

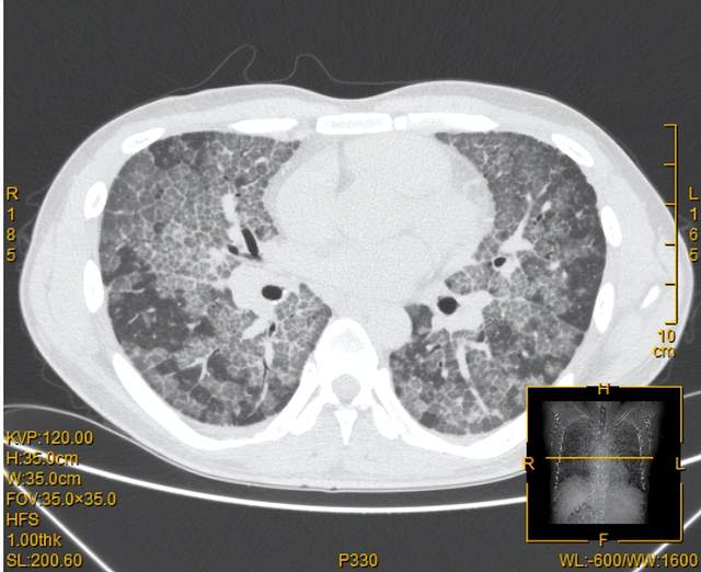
(胸部CT呈“铺路石征”)

该患者入院后,我科高度重视,入院后系列检查提示患者存在明显低氧血症及呼吸困难症状,有全肺灌洗指征。

对于本身存在低氧血症、呼吸衰竭患者,双肺同期大容量全肺灌洗术是一项高风险手术,灌洗过程中需两肺轮流灌洗,清洗一侧肺的同时以机械通气的方式维持另一侧肺的工作。由于单肺维持通气工作,或因患者灌洗过程中出现气道痉挛进一步加重呼吸衰竭,或因灌洗出现肺压伤、肺出血、气胸等,因此要在疗效与安全之间精准平衡,需要技术精湛的呼吸科医师和麻醉科医师的密切合作。

基于对该患者的病情评估,呼吸与危重症医学科谭小武医师、曾赛丽医师、刘青医师等团队专家迅速完善各项评估检查,并邀请麻醉科王德明主任、ICU李方主任一起进行术前讨论,制定了周密的手术方案。针对患者病情的特殊性,护理方面同普通病区护士长刘艳、手术室护士长谢春花进行了充分的沟通与协调。

7月15日,在麻醉团队、护士团队的协助下,谭小武主任带领多位呼吸科医师对该患者进行了全麻下大容量全肺灌洗术。手术一共持续了4个多小时,引流液体逐渐由浑浊变为清亮,回收的牛奶状液体足足装了41瓶。术后患者被转入ICU病房观察,已于7月16日返回普通病房。患者诉目前症状已缓解,再次恢复顺畅呼吸,同时,监测血氧饱和度为95%。

(清亮生理盐水灌入,牛奶状液体引出与第一瓶灌洗出来的牛奶状液体)

(清洗出来的牛奶状液体)

全肺灌洗术主要适应症为尘肺、肺泡蛋白沉积症。该技术于1986年在我国开始应用于尘肺患者。经历了几十年的发展,目前该项技术已经推向全国。但此技术更多在职业病防治所应用于尘肺患者,南华大学附属第二医院呼吸与危重症医学科于2012年开展此项技术于肺泡蛋白沉积症患者,目前第一例患者每年均有复诊,一般情况良好。此技术对于有适应症的尘肺及肺泡蛋白沉积症患者疗效确切,患者满意度高。此项技术的开展是广大需要肺灌洗患者的福音,需要肺灌洗的患者不用远走就医,选择南华附二,感受人文关怀,解您病痛之苦,重新顺畅呼吸!