颅咽管瘤是颅内具有挑战性肿瘤之一,好发于儿童及中年,病理显示为良性肿瘤,但临床上具有恶性侵袭表现。多年来一直是神经外科领域治疗的难点。随着神经外科技术的发展,特别是神经内镜的应用,颅咽管瘤变为可治愈的肿瘤。现向大家汇报我科近期开展的一例颅咽管瘤的治疗。
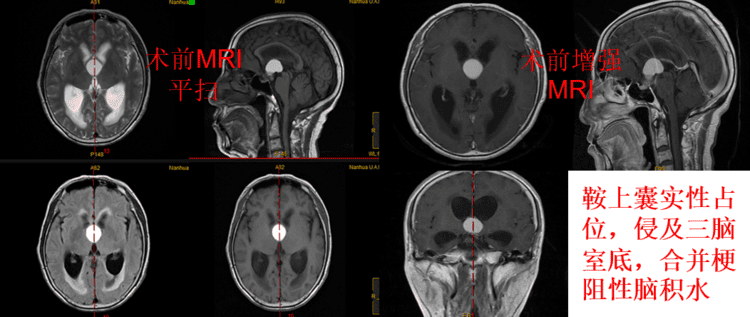
患者,陈某,67岁。因“反应迟钝、记忆力下降半年”入院。入院时MRI示鞍区占位并梗阻性脑积水,考虑为颅咽管瘤可能性大。


神经内镜下术中解剖显示


术中肿瘤全切,解剖结构显示清晰


术后当天复查,肿瘤全切,术区无明显出血


术后MRI增强可见肿瘤全切,脑积水解除
以"神经内镜技术"处理神经系统疾病,具有创伤小、安全度高、恢复快和费用低等优点,在发达国家已广泛开展,但国内尚未普及。为造福广大湘西南地区患者,2015年南华大学附属第二医院神经外科,在衡阳市地区第一家引进德国storz神经内镜及系统,率先在湖南省内开展神经内镜手术及内镜辅助下显微镜下切除病灶手术。并成功运用内镜行以下手术:1、脑出血(特别是脑室内出血),可以在小的孔洞下,将脑出血吸出,减少残留,减轻术后并发症,直接止血,有效地减少再出血;2、脑囊肿;3、垂体腺瘤;4、脑积水;5、三叉神经痛及面部痉挛;6、脑室内病变;7、配合神经导航、在显微镜下经鼻、经蝶、经斜坡等颅底部位的病变手术治疗;8、外伤后视神经减压、脑脊液鼻漏修复术。
颅咽管瘤的治疗,一直是神经外科领域具有挑战性手术。颅咽管瘤位于鞍区,解剖结构复杂,毗邻众多重要神经血管,如视神经、视交叉、下丘脑、垂体及垂体柄、动眼神经,颈内动脉及其分支,大脑后动脉及其分支。颅咽管瘤的手术入路有很多种如:经额下入路、经翼点入路、经纵裂胼胝体穹隆三脑室入路开颅切除术与经鼻碟内镜下切除术。开颅手术入路需抬起脑组织,分开神经血管方能显露肿瘤,从前方或者侧方入路多由神经血管的遮挡,存在视野盲区,而经鼻扩大入路则是沿着肿瘤生长长轴显露肿瘤,可以清晰的显示肿瘤的起源,沿着与周围神经血管的边界分离肿瘤,对重要结构尤其是下丘脑的保护具有巨大优势。与开颅手术相比,经鼻手术不仅创伤小,全切率高,且术后的并发症明显减少,恢复更快。传统开手术术后患者容易出现下丘脑功能、垂体功能紊乱,需要长时间服药,远期还容易出现脑积水等并发症等。本例使用内镜经鼻碟切除鞍区颅咽管瘤,同时解除梗阻性脑积水,“一箭双雕”,具有手术时间短,术后反应轻,并发症少,对垂体功能及下丘脑功能影响小等特点。


