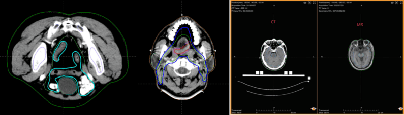
人工智能辅助靶区勾画系统相比于传统的基于图谱(Atlas-based)的自动勾画更具有优势,成功实现了复杂靶区的自动勾画,以鼻咽癌靶区勾画为例,传统手工勾画需要2-3小时,而自动勾画只需3-5分钟,大大简化了放射治疗的流程,提高了放射治疗全流程的整体效率。
多模态图像配准和自动分割

人工智能辅助靶区勾画系统相比于传统的基于图谱(Atlas-based)的自动勾画更具有优势,成功实现了复杂靶区的自动勾画,以鼻咽癌靶区勾画为例,传统手工勾画需要2-3小时,而自动勾画只需3-5分钟,大大简化了放射治疗的流程,提高了放射治疗全流程的整体效率。
多模态图像配准和自动分割