首页
医院/科室概况
医院简介
组织架构
领导团队
科室导航
文化愿景
就医指南
门诊须知
住院须知
预约挂号
来院导航
健康管理(体检)中心
楼层信息
医保专区
健康科普
医教研动态
医疗技术
护理特色
教学管理
科研动态
党群工作
党建动态
专题教育
新闻中心
附二要闻
招标采购
对外公告
加入我们
人才招聘
研究生招录
住院医师规范化培训招录
进修/实习/培训申请
医联体建设
非手术科室
手术科室
诊断相关科室
综合学科
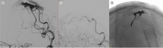
功能区动静脉畸形手术切除致残风险高,介入栓塞可在保留神经功能前提下将畸形血管完全栓塞,不需开颅即可达到治愈的目的。图
1 功能区动静脉畸形,图2 畸形血管不显影,图3 栓塞剂弥散良好